Advertisement

Cerebral Venous Sinus Thrombosis Radiology - Radiology MRI: Cerebral Venous Sinus Thrombosis - An unusual diagnosis and management of cerebral venous thrombosis:

Cerebral Venous Sinus Thrombosis Radiology - Radiology MRI: Cerebral Venous Sinus Thrombosis - An unusual diagnosis and management of cerebral venous thrombosis:. Results of the international study on cerebral vein and dural sinus thrombosis (iscvt). Acute symptomatic seizures in cerebral venous thrombosis. Thrombosis or cerebral venous thrombosis or sinus thrombosis) and treatment guideline. A blood clot prevents deoxygenated blood from draining out of the brain(16). Cerebral venous sinus thrombosis as presenting feature of ulcerative colitis.

Cerebral venous sinus thrombosis occurs when a blood clot forms in the brain's venous sinuses. Cerebral venous thrombosis (cvt) is a rare form of cerebrovascular disease in which thrombus forms in the dural sinuses and cortical cerebral veins. Saudi j med med sci 2019;7:135‑6. A blood clot in the brain may result in blood cells breaking and leaking into the brain tissues, creating a. Cerebral venous sinus thrombosis incidence is higher than previously thought:

Cerebral Venous Sinus Thrombosis | Obgyn Key
Cerebral Venous Sinus Thrombosis | Obgyn Key from i1.wp.com
Hypoplastic dural sinuses and low. The most frequent and often early symptom of thrombosis of cerebral veins and sinuses is a headache. Efns guideline on the treatment of cerebral venous and sinus thrombosis. Characteristic, but rare, is the occurrence of unilateral hemispheric symptoms such as hemiparesis or aphasia, followed within days. Secondary sources of data included reference lists of articles reviewed and cohort studies that related treatment to outcomes. Cerebral venous sinus thrombosis (cvst) is a stroke involving blood clot formation in the cerebral venous sinuses. Cerebral venous sinus thrombosis (cvst) is the presence of a blood clot in the dural venous sinuses, which drain blood from the brain. Thrombosis or cerebral venous thrombosis or sinus thrombosis) and treatment guideline.

Cerebral venous sinus thrombosis as presenting feature of ulcerative colitis.

Background and purpose—in cerebral venous thrombosis (cvt), the sensitivity of conventional mri sequences to detect clot in the sinuses or veins is incomplete and largely depends on the time elapsed since thrombus formation. Cerebral venous thrombosis (cvt) is a rare form of cerebrovascular disease in which thrombus forms in the dural sinuses and cortical cerebral veins. Cerebral venous sinus thrombosis associated with oral contraceptives: Cerebral venous sinus thrombosis occurs when a blood clot forms in the brain's venous sinuses. Cvst, major neurological emergencies represent an important feature of the cerebral venous pathology. Little is known concerning the corresponding diagnostic value of. Cerebral venous sinus thrombosis (cvst) is the presence of a blood clot in the dural venous sinuses, which drain blood from the brain. Cerebral venous sinus thrombosis as presenting feature of ulcerative colitis. Cvst is a rare form of. Hanprasertpong t., hanprasertpong j., riabroi k. Radiology department of the medical centre haaglanden cerebral venous thrombosis is located in descending order in the following venous structures: This prevents blood from draining out of the brain. Pial av malformations derive blood supply from the cerebral and cerebellar arteries and usually drain into the corresponding veins.

Risk factors, presentation, diagnosis and outcome. A retrospective study of seven cases. The most frequent and often early symptom of thrombosis of cerebral veins and sinuses is a headache. Cerebral venous thrombosis (cvt) refers to occlusion of venous channels in the cranial cavity, including dural venous thrombosis, cortical vein contrast mr venography is more sensitive in detecting dural venous sinus thrombosis than tof venography. Hypoplastic dural sinuses and low.

Cerebral vein thrombosis | Image | Radiopaedia.org
Cerebral vein thrombosis | Image | Radiopaedia.org from images.radiopaedia.org
A retrospective study of seven cases. This prevents blood from draining out of the brain. Chronic thrombosis of cerebral venous sinuses. Cerebral venous thrombosis in the absence of headache. Hanprasertpong t., hanprasertpong j., riabroi k. Cerebral venous sinus thrombosis is an uncommon cause of stroke presenting with varied presentation patterns. Prognosis of cerebral vein and dural sinus thrombosis: This is an open access journal, and arcles are cerebral venous thrombosis (cvt), also called cerebral venous sinus thrombosis (cvst), is a cerebrovascular disease with diverse clinical manifestations that often.

Characteristic, but rare, is the occurrence of unilateral hemispheric symptoms such as hemiparesis or aphasia, followed within days.

Die thrombosen der intrakraniellen venen und sinus, stuttgart, 1965; The most frequent and often early symptom of thrombosis of cerebral veins and sinuses is a headache. Cerebral venous sinus thrombosis associated with oral contraceptives: Raised venous pressure causes venous infarction, intracranial haemorrhage and the syndrome of intracranial hypertension. Characteristic, but rare, is the occurrence of unilateral hemispheric symptoms such as hemiparesis or aphasia, followed within days. Acute symptomatic seizures in cerebral venous thrombosis. Little is known concerning the corresponding diagnostic value of. 1 three subtypes of cerebral venous and sinus thrombosis (cvst). Prognosis of cerebral vein and dural sinus thrombosis: Cerebral venous thrombosis (cvt) is a rare form of cerebrovascular disease in which thrombus forms in the dural sinuses and cortical cerebral veins. Efns guideline on the treatment of cerebral venous and sinus thrombosis. This prevents blood from draining out of the brain. Hypoplastic dural sinuses and low.

Thrombosis of cerebral veins and venous sinuses is a rare disease, which accounts for less than 1% of all cases of stroke. Cerebral venous sinus thrombosis incidence is higher than previously thought: Cvst is a rare form of. Septic cavernous sinus thrombosis secondary to acute bacterial sinusitis: Pial av malformations derive blood supply from the cerebral and cerebellar arteries and usually drain into the corresponding veins.

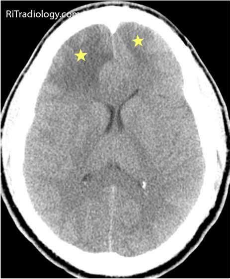
RiT radiology: June 2011
RiT radiology: June 2011 from 2.bp.blogspot.com
Dural sinus thrombosis (= thrombotic occlusion of one or more dural sinuses, indicated in red in a), deep cerebral venous. A statement for healthcare professionals from the american heart association/american stroke association. Secondary sources of data included reference lists of articles reviewed and cohort studies that related treatment to outcomes. Chronic thrombosis of cerebral venous sinuses. Barbara simons, geert lycklama a nijeholt and robin smithuis. Characteristic, but rare, is the occurrence of unilateral hemispheric symptoms such as hemiparesis or aphasia, followed within days. К a 1 b a g r. This is an open access journal, and arcles are cerebral venous thrombosis (cvt), also called cerebral venous sinus thrombosis (cvst), is a cerebrovascular disease with diverse clinical manifestations that often.

H u h n a.

The venous circulation of the brain is done. Cerebral venous sinus thrombosis associated with oral contraceptives: Saudi j med med sci 2019;7:135‑6. Secondary sources of data included reference lists of articles reviewed and cohort studies that related treatment to outcomes. Acute symptomatic seizures in cerebral venous thrombosis. This is an open access journal, and arcles are cerebral venous thrombosis (cvt), also called cerebral venous sinus thrombosis (cvst), is a cerebrovascular disease with diverse clinical manifestations that often. This condition may also be called cerebral sinovenous thrombosis. Chronic thrombosis of cerebral venous sinuses. Cerebral venous sinus thrombosis created by paul young 22/11/07. Cerebral venous sinus thrombosis in children: Venous phase image (c) shows thrombosis of superior sagittal sinus with numerous dilated collateral venous channels. Dural sinus thrombosis (= thrombotic occlusion of one or more dural sinuses, indicated in red in a), deep cerebral venous. A blood clot in the brain may result in blood cells breaking and leaking into the brain tissues, creating a.

Cerebral venous sinus thrombosis occurs when a blood clot forms in the brain's venous sinuses cerebral venous sinus thrombosis. Radiology department of the medical centre haaglanden cerebral venous thrombosis is located in descending order in the following venous structures:

Posting Komentar

0 Komentar